Tidiga komplikationer
Blödning
Peroperativ noggrann hemostas är viktigt för att undvika postoperativ blödning. Man rekommenderar omstickning i samband med delning av thyroidea-isthmus. I vissa fall ligger trunkus brachiocephalicus i halsen och man behöver i sådana fall göra en högre trakeotomi. Postoperativ blödning brukar behandlas med tryck med till exempel Surgicel. Re-explorering behövs sällan.
Subkutant emfysem, pneumothorax och pneumomediastinum
Hos spädbarn ligger toppen på pleura i halsen, lateralt. Om man dissekerar lateralt om medellinjen, finns det risk att man skadar pleura med resulterande pneumothorax. I lindriga fall kan pneumothoraxen behandlas konservativt, annars kan thorax-drän behöva appliceras.
Subkutant emfysem tillstöter om man har suturerat för tätt runt trakealkanylen, eller packat för hårt med kompresser, vilket gör att luft vid utandning tränger in i vävnaden. Detta behandlas genom att minska på spänningen runt trakealkanylen genom att avlägsna sutur från såret, och genom att ta bort onödiga kompresser för att låta luft pysa ut.
Lokal infektion
- Behandlas med noggrann hygien och byte av trakealkompresser regelbundet
Accidentell dekanylering
Denna komplikation är livshotande och förebyggs genom att:
- Applicera trakeostomiband med tillräcklig spänning runt halsen. Nackbandet ska vara spänt så hårt att man endast kan stoppa ett finger mellan barnets hals och trakeostomibandet, och av sådan sort att det inte lätt kan lossna/knytas upp
- Välja rätt längd på trakealkanyl. Man bör fiberskopera per- eller direkt postoperativt för att kontrollera att kanylspetsen inte ligger längre än ett par centimeter från carina. Röntgenologisk kontroll kan vara ett alternativ
- Undvika för mycket drag i trakealkanylen från till exempel respiratorslangar
- Hållsuturer ska alltid finnas på båda sidorna av den vertikala trakeala incisionen. Suturerna använder man för att hitta rätt vid rekanylering. Hållsuturerna ska vara lättillgängliga, fasttejpade på bröstet och markerade. De får inte avlägsnas förrän trakeostomat är etablerat, dvs. läkt och stabilt.
Kanylobstruktion
Obstruktion av trakealkanylen brukar orsakas av segt slem och/eller blod. I ovanliga fall kan granulationsvävnad utvecklas i trakea, i höjd med kanylspetsen, och ge obstruktion. Denna komplikation är livshotande och risken ökar hos yngre barn, då trakealkanylen är så smal att mindre mängder slem och blod räcker för att täppa till trakealkanylen. Denna komplikation kan förebyggas genom:
- Kontinuerlig tillsyn med rensugning av trakealkanylen och sugdjupet ska alltid kontrolleras mot kanyllängden. Man ska inte suga så djupt att spetsen på sugkatetern irriterar slemhinnan i trakea, men heller inte så grunt att trakealkanylen inte blir ren från slem
- Luftbefuktning
- Daglig undersökning av ÖNH-läkare, med tillräcklig erfarenhet av trakealkanyler och kanylvård, tills stoma-kanalen är etablerad, läkt och stabil.
Sena komplikationer
Fiberendoskopi bör göras regelbundet för att säkerställa att trakealkanylen har rätt läge och att trakealslemhinnan nedanför kanylspetsen inte är irriterad. Fiberendoskopi bör också göras i narkos för att bedöma hela luftvägen, första gången inom första året efter trakeotomin, därefter får intervallet individualiseras men bör göras regelbundet.
Kanylobstruktion och accidentell dekanylering
Se ovan sidan – tidiga komplikationer.
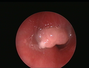
Granulom
Granulom utvecklas vanligtvis suprastomalt i trakeas framvägg. Lika vanligt ser man granulom peristomalt i huden. Det beror på främmandekroppsreaktion och bakterieflora som stimulerar bildning av granulationvävnad. I mindre vanliga fall utvecklas granulationsvävnad vid kanylspetsen. Granulom kan blöda och även försvåra kanylbyte.
Hudgranulom kan i lindriga fall behandlas med antibiotika-steroidsalva. Större hudgranulom behöver brännas med bipolär diatermi, vilket dock kräver narkos. Silvernitratlapisering bör användas med försiktighet då det kan orsaka frätskada i luftvägen. Intilliggande hud kan skyddas med skyddande barriärfilm, t ex. Cavilon®.
Granulom i stoma-kanalen ska alltid åtgärdas då de försvårar kanylbyte, orsakar smärta/obehag och kan utgöra en säkerhetsrisk.

Suprastomala granulom är oftast lindriga och behöver då inte behandlas. De brukar försvinna efter dekanylering. Stora granulom som förhindrar luftflödet uppåt, vilket bland annat försvårar tal och dekanylering, kan behöva avlägsnas kirurgiskt via endoskopi eller i ovanliga fall med öppen kirurgi.
Granulom vid kanylspetsen kan vara livshotande och behandlas endoskopiskt med bland annat laser.
Figur 2. Suprastomala granulom av olika grad.
Suprastomal kollaps
Komplikationen beror på lokal trakeomalaci, suprastomalt i trakeas främre vägg. Orsaken är okänd. I svåra fall kan det vara hinder för dekanylering och operativ åtgärd behöver vidtas.
Figur 3. Suprastomal kollaps av olika grad.

Fistel mellan trakea och trunkus brakiocefalicus
Förekommer sällsynt och är livshotande.
Fistel mellan trakea och esofagus
Förekommer sällsynt och är livshotande.